Сегодня представим вам клинический случай, в основе которого лежит классический механизм ударно-противоударной травмы головы.

Пациент 40 лет, страдающий гипертонической болезнью, обратился в Отделение экстренной помощи через несколько дней после падения.

За 2 недели до падения пациенту была проведена коррекция антигипертензивной терапии с увеличением дозы одного из препаратов.

В день падения при резком вставании с кровати пациент почувствовал головокружение, упал и потерял сознание. Головокружение и потеря сознания могли быть проявлением так называемой «ортостатической гипотензии», когда организм не успевает отреагировать на повышенную потребность в кровотоке при резкой вертикализации, которая может быть побочным эффектом антигипертензивных препаратов, а также следствием обезвоживания или хронических заболеваний.

Пациент обратился в Ильинскую больницу, где была проведена компьютерная томография головного мозга и выявлены следующие изменения:

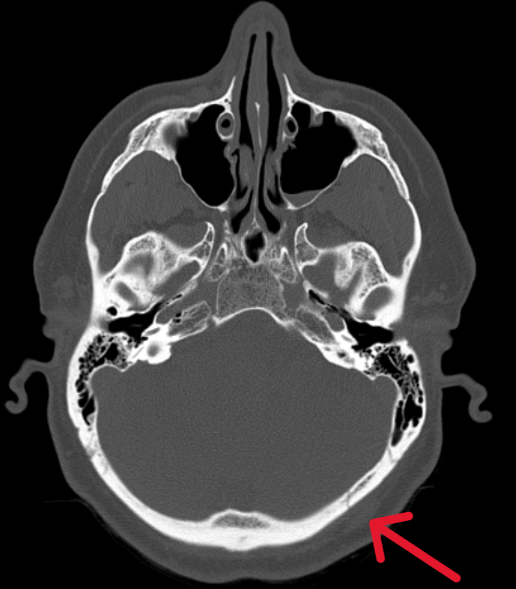
  • перелом затылочной кости слева (то место, куда пришелся удар при падении);

  • ушиб (контузия) мозга с геморрагическими включениями в правой лобной доле (противоположная от удара сторона).
    Такой механизм травмы обусловлен тем, что мозг имеет подвижность внутри черепной коробки и после первого удара «отскакивает» и ударяется о противоположную стенку черепа.


    Перелом костей черепа и ушиб головного мозга требуют экстренной консультации нейрохирурга и госпитализации пациента, так как приводят к осложнениям, самые грозные из которых:

    • отек головного мозга;

    • кровоизлияния с формированием гематом;

    • развитие неврологического дефицита в виде парезов и параличей.

      Пациент был передан на курацию в нейрохирургическую службу Ильинской больницы, успешно проходит лечение и наблюдение на амбулаторном этапе.

      Автор: Василевский Станислав АндреевичВасилевский Станислав Андреевич Терапевт

      Дата создания: 06.03.2026
      Дата изменения: 06.03.2026
      Записаться Получить мнение врача дистанционно

      Спрашивайте!