Мужчина 77 лет. Выраженная резкая боль в эпигастрии до 10/10 по визуально-аналоговой шкале, иррадиация в спину, выраженная тошнота.

Как всё начиналось

  • Боль в верхней части живота в течение нескольких дней

  • Самостоятельный приём препаратов «от желудка» — кратковременный эффект

  • Утром — резкое усиление боли

  • Спазмолитики и НПВС без эффекта

На момент поступления

  • Гемодинамика относительно стабильна

  • Живот вздут, болезненность в эпигастрии

  • SpO₂ 92%

  • Перитонеальных симптомов нет

Лабораторно

  • Общий билирубин 85 мкмоль/л, прямой 32 мкмоль/л

  • Умеренное повышение АСТ/АЛТ

  • CRP 38 мг/л

  • Лейкоцитоз с нейтрофилёзом

  • Hb 193 г/л, Ht до 60%

  • Липаза и амилаза — в норме

КТ органов брюшной полости с контрастированием

  • Патологии нет

Несмотря на «чистую» КТ и отсутствие билиарной гипертензии, боль сохранялась.
Принято клинически обоснованное решение — выполнить магнитно-резонансную холангиопанкреатографию (МРХПГ).

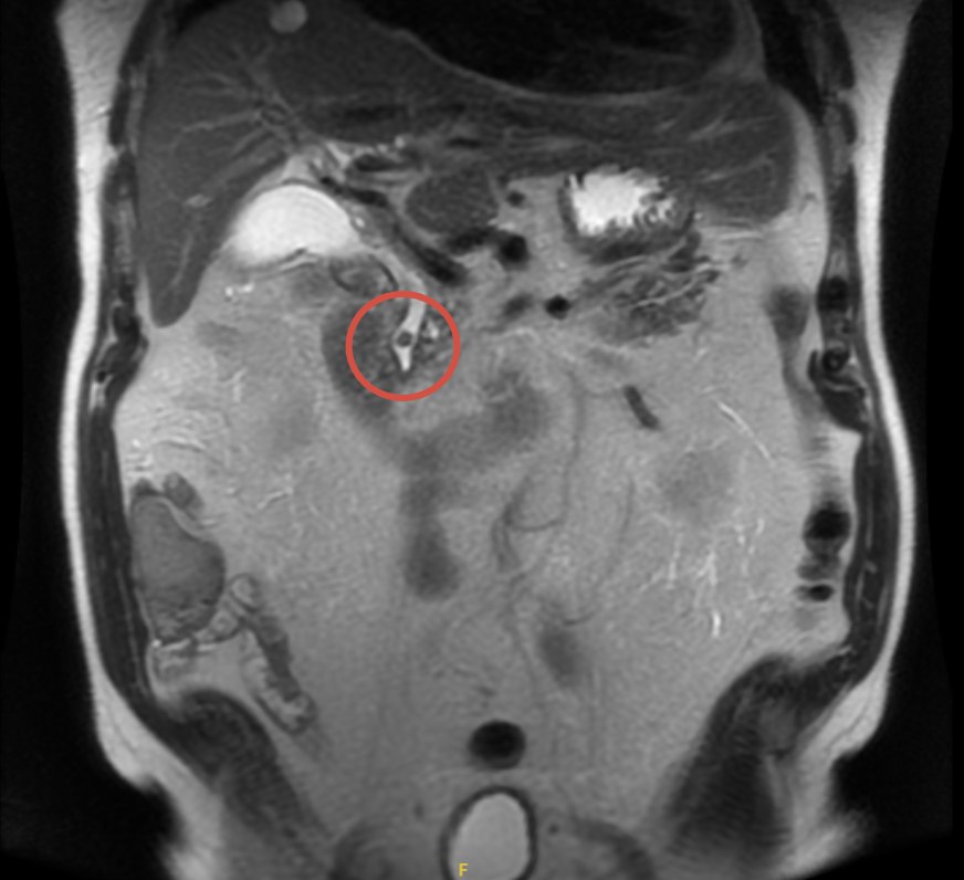
МРХПГ

  • Конкремент до 7 мм в интрапанкреатическом отделе холедоха

  • Минимальное расширение общего желчного протока (10–11 мм)

  • Желчный пузырь без камней


Важно: до 20–30% камней желчных протоков могут быть рентген-негативными и не выявляться на КТ.

Дальнейшее течение

В динамике состояние пациента ухудшилось с развитием билиарного сепсиса и септического шока:

  • Артериальная гипотензия

  • Потребность в вазопрессорной поддержке

  • Перевод в реанимацию

После экстренного выполнения ЭРХПГ и устранения билиарной обструкции:

  • Гемодинамика стабилизировалась

  • Вазопрессоры отменены

  • Состояние пациента улучшилось

Итог

Сильная боль в верхней части живота — не всегда «желудок». Некоторые камни в желчных протоках не видны на КТ, но могут нарушать отток желчи и приводить к тяжёлой инфекции. Если боль не проходит, усиливается или сопровождается ухудшением анализов, важно срочно проходить дополнительное обследование. Раннее выявление и лечение причины может спасти жизнь.

Автор: Эзугбая Бека СосоевичЭзугбая Бека Сосоевич Анестезиолог-реаниматологКандидат медицинских наук.

Дата создания: 15.01.2026
Дата изменения: 15.01.2026
Записаться Получить мнение врача дистанционно

Спрашивайте!