В ОЭП обратился 67-летний пациент с жалобами на внезапную потерю сознания, выраженную одышку, падение сатурации до 86% и нарастающую слабость.

На первый взгляд — стабильный, но клинические «красные флаги» были очевидны.

Анамнез: высокий риск, который пациент недооценил.

За последний год пациент дважды переносил тромбоэмболию лёгочной артерии, включая эпизод, потребовавший системного тромболизиса в апреле 2025 года.

Несмотря на тяжёлую историю, он самостоятельно прекратил антикоагулянтную терапию и длительно не контролировал сахар крови.

За сутки до обращения:

  • долго сидел,

  • при резком вставании потерял сознание,

  • ночью — выраженная одышка,

  • глюкоза повышалась до 18 ммоль/л.

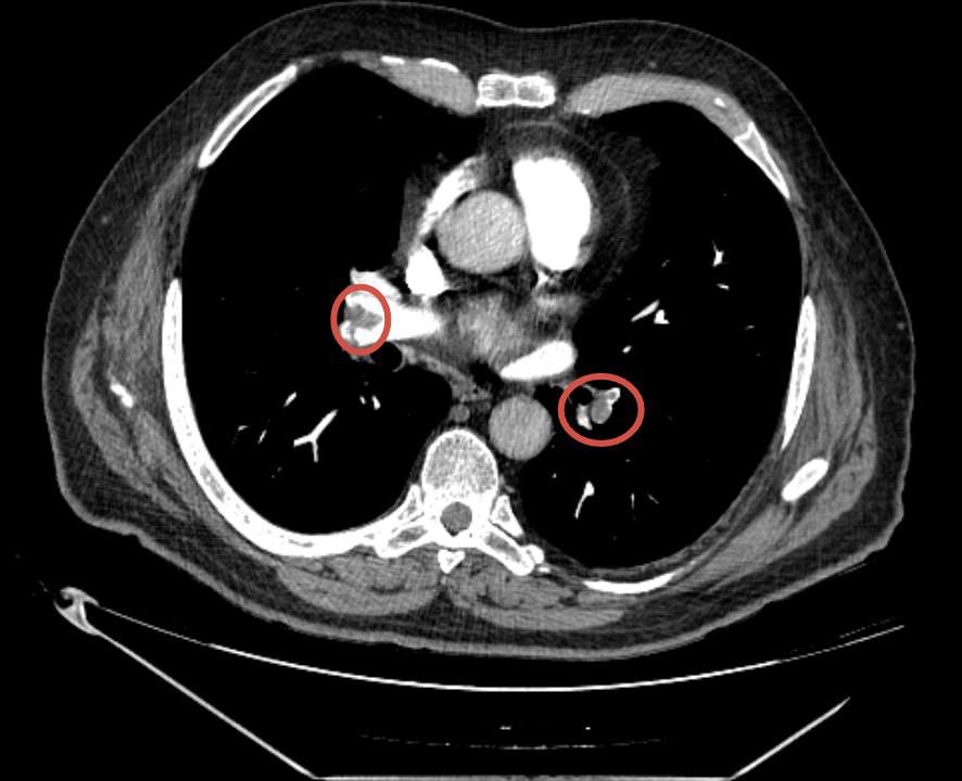
Обследование в отделении экстренной помощи: картина повторной массивной ТЭЛА

Несмотря на нормальные показатели в покое, внешний вид, одышка и данные анамнеза требовали быстрой и точной диагностики.

КТ органов грудной клетки показала:

  • массивная ТЭЛА,

  • поражение ветвей обеих лёгочных артерий,


УЗИ вен нижних конечностей — критически важные данные. Обследование выявило несколько опасных находок, объясняющих риск повторной ТЭЛА:

  • флотирующий тромб на уровне подколенной вены справа — крайне опасная форма тромба, способная в любой момент оторваться и эмболизировать в лёгочную артерию;

  • окклюзирующий тромбоз глубоких вен голени с обеих сторон — давность не определена, что указывает на хроническое тромбообразование.

Комбинация флотирующего тромба и двустороннего тромбоза голени резко повышает риск повторной ТЭЛА.

Расчёт рисков

По шкале PESI — 149 баллов: высокая вероятность серьёзных осложнений и смерти при отсутствии лечения.

Пациент был срочно госпитализирован в реанимацию для проведения терапии и предотвращения новой эмболии.

Почему этот случай — важное напоминание

Для пациентов с историей ТЭЛА даже небольшое нарушение рекомендаций может стать роковым.

Особенно опасны:

  • прекращение приема антикоагулянтов,

  • длительная неподвижность,

  • прогрессирующий венозный тромбоз,

  • декомпенсация диабета,

  • отсутствие наблюдения у врачей.

Флотирующие тромбы — одна из самых жизнеугрожающих форм: они «держатся» за стенку лишь небольшим участком и могут оторваться в любой момент.

Как предотвратить трагедию

  • никогда не отменять антикоагулянты самостоятельно;

  • избегать длительного сидения;

  • контролировать сахар и давление;

  • при одышке, боли в груди, головокружении — обращаться к врачу за помощью.

Берегите себя!

Этот случай — напоминание, что даже небольшие отклонения от рекомендаций могут быть опасны.
Пожалуйста, внимательно относитесь к своему здоровью, не отменяйте лечение самостоятельно и обращайтесь за помощью при первых тревожных симптомах.

Мы всегда рядом, чтобы поддержать и помочь.

Автор: Эзугбая Бека СосоевичЭзугбая Бека Сосоевич Анестезиолог-реаниматологКандидат медицинских наук.

Дата создания: 04.12.2025
Дата изменения: 04.12.2025
Записаться Получить мнение врача дистанционно

Спрашивайте!