Что может быть привычнее пациента с симптомами ОРВИ в феврале — температура, кашель, слабость?

Но иногда за самой обыденной картиной скрывается диагноз, который встречается в мировой практике крайне редко.

Так, в этом году в Ильинскую больницу поступил пациент с заболеванием, известным в медицине преимущественно по единичным описаниям — синдромом Мунье–Куна (трахеобронхомегалией).

Он много лет испытывал эпизоды кашля, одышки и обильной мокроты, тяжело переносил физическую нагрузку и подъёмы в гору. После очередной «простуды» обратился в отделение экстренной помощи.

Дежурного врача насторожили крупнопузырчатые, “клокочущие” хрипы по всем полям лёгких — необычная аускультативная находка.

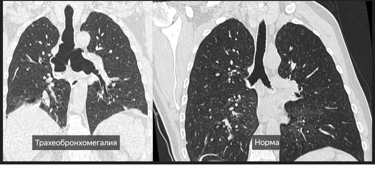
На КТ грудной клетки выявлены: ателектаз, скопление секрета в бронхах и трахеобронхомегалия — ключевой признак синдрома Мунье–Куна. Такое расширение трахеи и крупных бронхов делает пациента уязвимым к частым инфекциям дыхательных путей.


Пациенту выполнено микробиологическое исследование мокроты, назначена антибактериальная терапия и даны рекомендации по дальнейшему наблюдению.

Этот случай напомнил: даже самые «обычные» симптомы могут скрывать редкое и уникальное заболевание, если врач сохраняет настороженность и внимательно оценивает каждый шаг диагностики.

Автор: Давыдов Юрий ВикторовичДавыдов Юрий Викторович Кардиолог, врач функциональной диагностики

Дата создания: 28.11.2025
Дата изменения: 28.11.2025
Записаться Получить мнение врача дистанционно

Спрашивайте!