В отделение экстренной помощи Ильинской больницы поступил пожилой мужчина, 80 лет.
Родственники рассказали: пациент внезапно перестал видеть левым глазом.
На дому его уже осмотрели врачи скорой помощи и «исключили инсульт». Но семья не успокоилась и решила обратиться за вторым мнением.
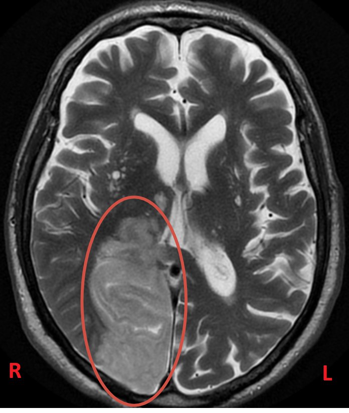
В нашем отделении уже через час была выполнена МРТ головного мозга, и диагноз подтвердился: острое нарушение мозгового кровообращения (инсульт).
Секрет — в анатомии зрительных путей. Они частично перекрещиваются в области хиазмы, а затем идут в затылочную долю мозга — именно там формируется зрительное восприятие.

Если инсульт поражает правую затылочную кору, пациент теряет левые поля зрения обоих глаз — это называется гомонимная гемианопсия.
Если поражена левая затылочная доля, исчезают правые поля зрения. Это и есть правило зрительного перекреста.
В нашем случае МРТ показала инсульт в правой затылочной доле (в бассейне правой задней мозговой артерии).
Пациент не ослеп на левый глаз — он просто перестал видеть левую сторону пространства, при том что глаза оставались абсолютно здоровыми.


В отделении экстренной помощи такие знания позволяют быстро разобраться в сложных случаях, вовремя провести диагностику и правильно маршрутизировать пациента.
Василевский Станислав Андреевич Терапевт