В отделение экстренной помощи Ильинской больницы поступил пожилой мужчина, 80 лет.

Родственники рассказали: пациент внезапно перестал видеть левым глазом.

На дому его уже осмотрели врачи скорой помощи и «исключили инсульт». Но семья не успокоилась и решила обратиться за вторым мнением.

В нашем отделении уже через час была выполнена МРТ головного мозга, и диагноз подтвердился: острое нарушение мозгового кровообращения (инсульт).

Почему пациент "перестал видеть" левую сторону?

Секрет — в анатомии зрительных путей. Они частично перекрещиваются в области хиазмы, а затем идут в затылочную долю мозга — именно там формируется зрительное восприятие.


Если инсульт поражает правую затылочную кору, пациент теряет левые поля зрения обоих глаз — это называется гомонимная гемианопсия.

Если поражена левая затылочная доля, исчезают правые поля зрения. Это и есть правило зрительного перекреста.

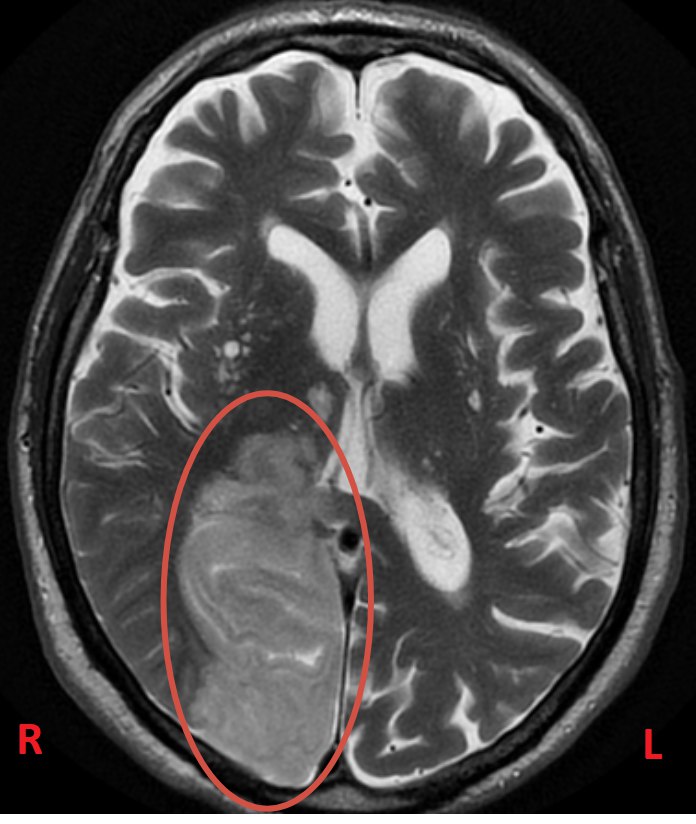
В нашем случае МРТ показала инсульт в правой затылочной доле (в бассейне правой задней мозговой артерии).
Пациент не ослеп на левый глаз — он просто перестал видеть левую сторону пространства, при том что глаза оставались абсолютно здоровыми.


В отделении экстренной помощи такие знания позволяют быстро разобраться в сложных случаях, вовремя провести диагностику и правильно маршрутизировать пациента.

Автор: Василевский Станислав АндреевичВасилевский Станислав Андреевич Терапевт

Дата создания: 05.11.2025
Дата изменения: 06.11.2025
Записаться Получить мнение врача дистанционно

Спрашивайте!