Пациентка 71 года с недавно установленным диагнозом опухоли поджелудочной железы обратилась в отделение экстренной помощи.
отсутствие стула в течение 3 суток;
многократная рвота, в том числе содержимым чёрного цвета;
невозможность приёма пищи и жидкости — любая попытка провоцировала рвоту.
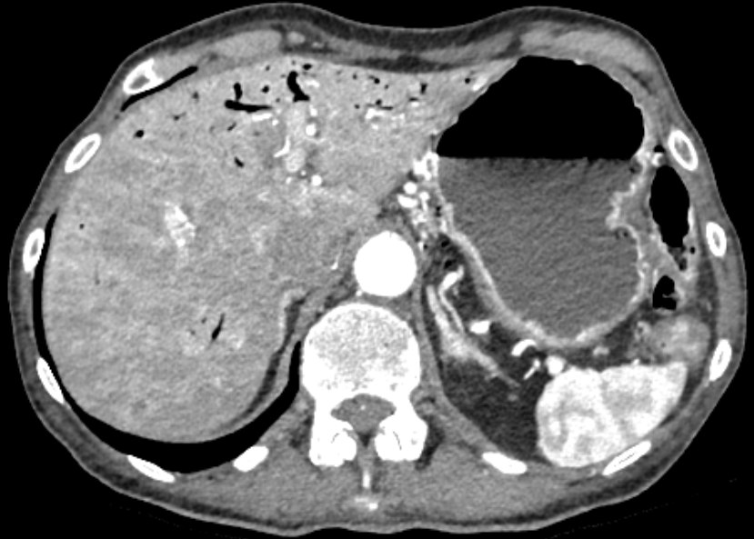
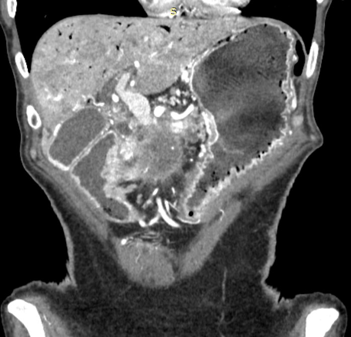
Очевидная дуоденальная кишечная непроходимость, обусловленная опухолевым ростом поджелудочной железы.
Помимо ожидаемой картины непроходимости были выявлены редкие и клинически значимые изменения:
газ в системе воротной вены (портальный пневматоз);
интрамуральный газ в стенке желудка;
тромбоз верхней брыжеечной вены;
локальный тромбоз верхней брыжеечной артерии.


Газ в системе воротной вены — редкий КТ-признак, который может быть ассоциирован с жизнеугрожающими состояниями, требующими экстренного хирургического вмешательства:
кишечная непроходимость (попадание газа из просвета кишки в стенку и далее в портальную вену на фоне повышенного давления);
тяжёлые инфекции (например, клостридиальный колит, при котором газ продуцируется бактериями);
некроз органов желудочно-кишечного тракта.
Как отличить портальный пневматоз от пневмобилии на КТ?
Портальный пневматоз — газ располагается периферически, близко к капсуле печени.
Пневмобилия — газ локализуется центрально, ближе к воротам печени, не доходя до капсулы минимум на 2 см.
На момент поступления невозможно было однозначно установить причину портального пневматоза.
Рассматривались:
некроз желудка на фоне тромбоза верхней брыжеечной артерии;
воздушная эмболия из поверхностных вен пищевода и желудка при синдроме Мэллори–Вейса.
После первичной стабилизации пациентка была передана хирургам. Принято решение о выжидательной тактике:
декомпрессия желудка через назогастральный зонд;
контрольное КТ на следующие сутки — признаков газа в системе воротной вены не выявлено (самостоятельная регрессия);
в дальнейшем выполнены ЭФГДС и стентирование опухолевого стеноза двенадцатиперстной кишки.
Даже при «очевидной» причине кишечной непроходимости редкие КТ-находки, такие как портальный пневматоз, требуют взвешенного подхода, расширенного дифференциального диагноза и тесного взаимодействия экстренной службы с хирургами.
Василевский Станислав Андреевич Терапевт