В отделение экстренной помощи Ильинской больницы доставлен мальчик 6 лет после бытовой травмы.

Во время игры дома он залез на стол с каменной столешницей — стол перевернулся и придавил ребёнка.

При поступлении:

  • Тяжёлое состояние — выраженное беспокойство, частое дыхание (ЧДД 30), сатурация 85–88%
  • Ослабленное дыхание справа
  • Частота пульса 156 в мин, АД 120/60 мм рт. ст.

Немедленно собрана мультидисциплинарная команда по алгоритму «Black Code»: педиатр отделения экстренной помощи, реаниматолог, травматолог, детский хирург, нейрохирург, врач ультразвуковой диагностики. Подготовлен аппарат компьютерной томографии для исследования в режиме «политравма», оповещены операционный блок и дежурная анестезиологическая бригада.

Ребёнку начата кислородотерапия, установлен венозный доступ, экстренно набраны анализы, проведено обезболивание.

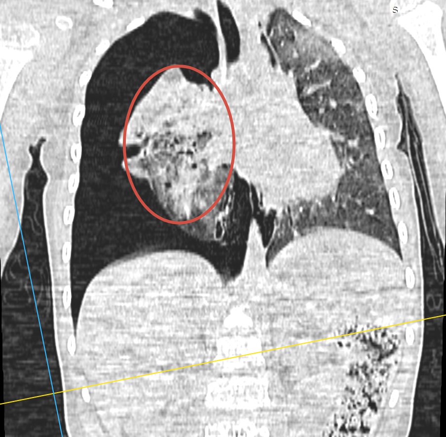
Результаты КТ:

  • массивный правосторонний пневмоторакс с коллабированием более 2/3 правого лёгкого (на иллюстрации — повреждённое лёгкое, сжатое до размера апельсина)


  • гемоторакс справа
  • пневмомедиастинум
  • ушиб обоих лёгких средней степени тяжести
  • данных за продолжающееся кровотечение нет
  • повреждений костей, черепа, лицевого скелета и головного мозга не выявлено
  • повреждений органов брюшной полости не выявлено

Пневмоторакс — опасное для жизни состояние, при котором воздух скапливается в плевральной полости, сжимает лёгкое и смещает сердце, нарушая дыхание и кровообращение. Это жизнеугрожающее состояние, требующее немедленных экстренных действий.

Хирургическое лечение:

  • Экстренно выполнено дренирование правой плевральной полости по Бюлау. При вскрытии получен воздух под давлением — подтверждён напряжённый пневмоторакс. Установлен функционирующий дренаж, обеспечивающий расправление лёгкого.
  • Проведена первичная хирургическая обработка поверхностных ран.

Окончательный диагноз:

Сочетанная травма средней степени тяжести:

  • ЗЧМТ, сотрясение головного мозга
  • Закрытая травма грудной клетки
  • Травматический напряжённый пневмоторакс справа
  • Гемоторакс справа без открытой раны в грудную полость
  • Ушиб лёгких средней степени тяжести с обеих сторон
  • Пневмомедиастинум
  • Ушиб сердца

Ребёнок переведён в отделение реанимации и интенсивной терапии для дальнейшего лечения. Состояние стабилизировано.
Через 9 суток пациент выписан из клиники в удовлетворительном состоянии.

Даже в привычной домашней обстановке могут происходить тяжёлые травмы.
Быстрая реакция родителей и слаженные действия команды экстренной помощи позволили своевременно устранить опасное для жизни осложнение и сохранить ребёнку здоровье.

Автор: Эзугбая Бека СосоевичЭзугбая Бека Сосоевич Анестезиолог-реаниматологКандидат медицинских наук.

Дата создания: 17.10.2025
Дата изменения: 17.10.2025
Записаться Получить мнение врача дистанционно

Спрашивайте!