Кишечная непроходимость – это патологическое состояние, которое характеризуется частичным или полным отсутствием продвижения содержимого по тонкой или толстой кишке по пищеварительному тракту. Причинами нарушения такого продвижения могут быть спайки между внутренними органами, доброкачественные или злокачественные новообразования в просвете тонкой или толстой кишки, воспалительные заболевания кишечника, инородные тела в просвете кишки, перекрут вокруг своей оси петли тонкой кишки и пр.

Наиболее частой причиной развития непроходимости в тонкой кишке являются спайки брюшной полости, что составляет 49-73% от всех случаев непроходимости. Летальность при операциях по поводу кишечной непроходимости достигает 10%, что делает очень актуальным быстрое обращение к специалистам при подозрении на данное заболевание.

Примером такого успешного обращения в Ильинскую больницу с последующим успешным завершением лечения является нижеописанный кейс.

Пациент 88 лет обратился на прием к гастроэнтерологу с жалобами на боли в правых отделах живота, многократную рвоту, постоянную икоту на протяжении 3 дней. Также известно, что ранее пациент перенес операцию полного удаления желудка по поводу рака. На приеме врач-гастроэнтеролог Анна Валерьевна Киселева заподозрила кишечную непроходимость и направила пациента в отделение экстренной помощи Ильинской больницы. А далее слаженная командная работа врачей отделения экстренной помощи и хирургов позволила быстро установить диагноз.

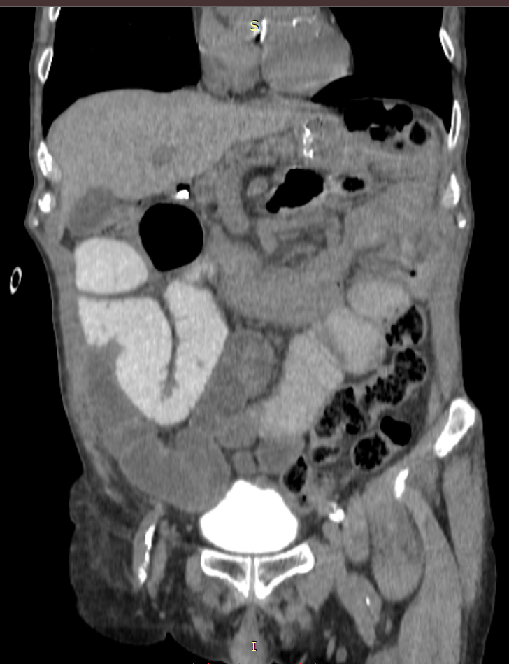
У пациента по данным КТ выявлена острая спаечная тонкокишечная непроходимость без явлений нарушения кровоснабжения тонкой кишки.


В таких случаях возможно начало лечения без операции, к тому же у пациента при обследовании выявлены тяжелые нарушения электролитов крови. Все это диктовало необходимость быстрого начала интенсивной терапии, что уже было начато в отделении экстренной помощи и далее продолжено в хирургическом отделении. В процессе интенсивной терапии и при дополнительном обследовании стало понятно, что пациенту необходимо оперативное вмешательство, которое было выполнено по стабилизации гомеостаза.


Операция выполнена лапароскопическим доступом, операционная бригада: Устименко А.В., Елизарова Н.И. Во время операции установлено, что причиной непроходимости явилась спайка, которая вызывала сдавление просвета тонкой кишки. Выполнено рассечение спайки, что послужило успешному разрешению кишечной непроходимости. Далее непродолжительный послеоперационный период, который проходил без осложнений, и выписка пациента на амбулаторный этап лечения.

Данный случай – это отличный пример командной работы, который позволил в течение часа установить диагноз, начать интенсивную терапию и далее провести малоинвазивную операцию, способствующую быстрому восстановлению пациента почтенного возраста.

Автор: Устименко Андрей ВладимировичУстименко Андрей Владимирович Онколог, колопроктолог, хирургКандидат медицинских наук, хирург высшей категории.

Дата создания: 16.02.2026
Дата изменения: 17.02.2026
Записаться Получить мнение врача дистанционно

Спрашивайте!