"Капсулы времени": почему важно обращаться к врачу общей практики

Очень необычная история произошла в Центре семейной медицины Ильинской больницы.

К нам на плановое обследование обратилась женщина 73 лет, которая при расспросе отмечала лишь болезненность в эпигастрии при переедании, погрешности в питании и сухость во рту.

Ранее пациентка наблюдалась по поводу подобных жалоб у гастроэнтеролога г. Тбилиси, где получала периодическое лечение препаратами, снижающими кислотность желудка, спазмолитиками, обволакивающими препаратами и прочими. Больше никакого лечения не получала.

При подробном сборе анамнеза выяснилось, что в 2020 г. пациентка перенесла операцию лапаротомия, удаление селезенки (спленэктомия) в связи с внутрибрюшным кровотечением в результате падения с высоты в г. Тбилиси.

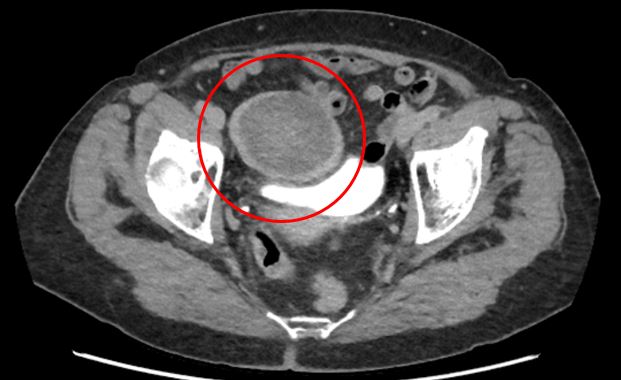
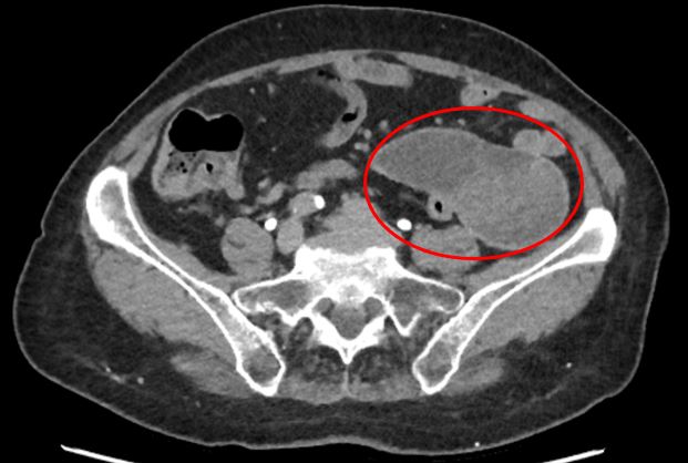
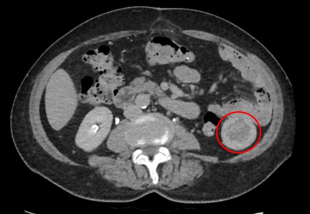
По результатам КТ живота с контрастированием выявлены неорганные образования в брюшной полости, расположенные между петлями кишечника с выраженной фиброзной капсулой, а также состояние после спленэктомии и консолидированные переломы ребер слева. Учитывая анамнез, одним из самых вероятных подозрений стало возможное наличие «инкапсулированных инородных тел».


План обследования был дополнен консультацией хирурга, а в последующем и консилиумом, по результату которого рекомендовано в плановом порядке оперативное вмешательство в объеме удаления неорганных образований брюшной полости. Предложен лапароскопический доступ с возможной конверсией в лапаротомию.

После обследования, при котором исключены противопоказания к хирургическому лечению, пациентке выполнена операция: Лапароскопия. Рассечение сращений. Конверсия в лапаротомию. Удаление неорганных образований брюшной полости и малого таза. Резекция сигмовидной кишки с формированием сигмо-сигмо анастомоза. Резекция петли тощей кишки с формированием межкишечного анастомоза. Санация и дренирование брюшной полости.

В ходе операции обнаружены:

  1. Под брыжейкой тонкой кишки крупное образование размерами около 7-8 см, оно имело плотный неразделимый контакт с петлей тощей кишки на расстоянии 40 см от связки Трейца, выполнено вскрытие его капсулы, при котором опорожнилось около 30 мл гноя.
  2. В левом латеральном канале обнаружено и мобилизовано образование 8-10 см также яйцевидной формы, что потребовало мобилизации селезеночного угла ободочной кишки.
  3. В малом тазу, плотно прилегая к мочевому пузырю, находилось еще одно неорганное образование шаровидной формы размерами около 5 см. Образование в капсуле содержало около 10 мл гноя.


Все образования были успешно удалены.

При повторном КТ исследовании органов живота через 2 недели: Состояние после удаления неорганных образований из брюшной полости – межкишечные анастомозы состоятельны, изменения брюшины и плевры реактивного характера.

В удовлетворительном состоянии пациентка была выписана на амбулаторное лечение. Со временем жалобы со стороны органов живота регрессировали.

В любой неопределенной ситуации – правильное решение – начать путь в больнице с обращения к врачу Центра семейной медицины, где вам помогут врачи общей практики.

Автор: Левин Алексей ВикторовичЛевин Алексей Викторович ТерапевтКандидат медицинских наук.

Дата создания: 22.09.2025
Дата изменения: 22.09.2025
Записаться Получить мнение врача дистанционно

Спрашивайте!