Знакомая ситуация? Ноет поясница, отдает в ягодицу, но по классическому «прострелу» в ногу не иррадиирует. И как назло, МРТ позвоночника — без критичных находок.

Ко мне за один день обратились двое пациентов с абсолютно идентичными жалобами:

  • Боль внизу спины, в ягодице при попытке встать и сесть.
  • Усиление боли при длительной ходьбе, с распространением на боковую поверхность бедра.

Казалось бы, картина похожа, но источник проблемы оказался разным (хоть и близким по анатомической причине), и далеко не в позвоночнике!

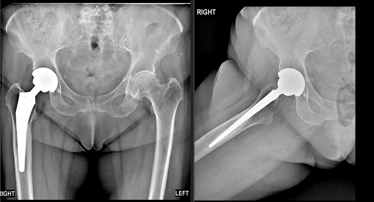
Случай 1: Дисфункция крестцово-подвздошного сочленения (КПС)

У пациента в анамнезе — эндопротезирование тазобедренного сустава и разная длина ног. Это привело к нарушению биомеханики и перегрузке КПС — того самого сустава, который соединяет таз с крестцом. Именно его дисфункция давала знакомую боль.


Случай 2: Импинджмент-синдром тазобедренного сустава (FAI)

У второго пациента при осмотре был положителен тест FADIR (боль при сгибании, приведении и внутренней ротации бедра). Рентген подтвердил диагноз: импинджмент-синдром. Из-за выраженных дегенеративных изменений в тазобедренном суставе - шейка бедра «соударяется» с краем вертлужной впадины, вызывая боль и мышечно-тонический синдром.


Так что же объединяет эти случаи?

  • Источник боли — не позвоночник. Проблема в сочленениях таза и тазобедренном суставе.
  • Причина — биомеханические нарушения. Изменение правильной работы одного звена (тазобедренного сустава) перегружает соседние (КПС, мышцы).
  • Лечение — консервативное! В обоих случаях показания к хирургии были сомнительны. Первый и главный шаг — реабилитация и интервенционное обезболивание.

Какое лечение помогло?

  • Первому пациенту выполнил лечебно-диагностическую блокаду крестцово-подвздошного сочленения. Боль ушла.
  • Второму пациенту — провел блокаду грушевидной мышцы и мышц большого вертела. Результат тот же — значительное уменьшение боли.

Теперь оба пациента могут приступить к главному этапу — реабилитации для восстановления правильной биомеханики и закрепления результата.

Take-home message: Боль в пояснице и ягодицах — это далеко не всегда заболевание позвоночника. Правильная диагностика позволяет найти истинную причину и помочь без радикальных мер.

Автор: Елисеев Александр СергеевичЕлисеев Александр Сергеевич Нейрохирург

Дата создания: 09.10.2025
Дата изменения: 09.10.2025
Записаться Получить мнение врача дистанционно

Спрашивайте!