Остеосинтез титановыми эластичными стержнями

Как восстанавливают кости голени у детей без длительного ношения громоздкого гипса
Записаться на прием

Переломы костей голени - частая травма у детей. Игры, спорт, падения - всё это повышает риск повреждений. Но сегодня врачи могут помочь ребёнку восстановиться гораздо быстрее и комфортнее, чем раньше.

Что такое остеосинтез титановыми эластичными стержнями?

Остеосинтез – это операция по фиксации перелома.
Фиксация титановыми эластичными стержнями - это современный метод лечения, при котором через небольшие хирургические доступы внутрь кости вводят тонкие гибкие стержни из титана. Благодаря конструкции и правильной технике имплантации они удерживают отломки в правильном положении, пока кость срастается.

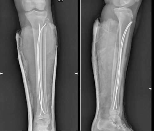
Вот так это выглядит на рентгеновских изображениях:


В чем плюсы такого метода?

  • малотравматичная операция (для установки TENов достаточно двух небольших хирургических доступов по несколько сантиметров);
  • надёжная фиксация;
  • нет необходимости в длительной гипсовой фиксации;
  • ребёнок раньше начинает ходить и восстанавливаться;
  • как только спадает отёк после операции – гипсовая повязка снимается и ребенок начинает наступать на ногу.

А как же гипс?

Фиксация в гипсе — тоже вариант, особенно при неосложнённых переломах.

Но у этого метода есть минусы:

  • возможен риск смещения костных отломков;
  • требуется длительная иммобилизация;
  • восстановление обычно проходит тяжелее.

Благодаря титановой фиксации дети быстрее возвращаются к активной жизни.

Ортопеды-травматологи Ильинской больницы применяют новейшие малотравматичные методы остеосинтеза, соответствующие международным стандартам детской травматологии.

Автор: Галкин Геннадий СергеевичГалкин Геннадий Сергеевич Травматолог-ортопед

Дата создания: 22.10.2025
Дата изменения: 22.10.2025
Записаться Получить мнение врача дистанционно

Спрашивайте!