Стресс-перелом крестца у молодой пациентки

Пациентка 21 года, обратилась к травматологу с жалобами на боли в левом тазобедренном суставе.

При осмотре патологии со стороны сустава выявлено не было. Для исключения невральной компрессии пациентку направили на МРТ поясничного отдела позвоночника.

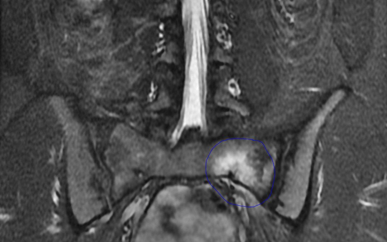
На МРТ: признаков компрессии корешков не выявлено, однако были обнаружены изменения в крестце, попавшем в зону исследования:

  • отёк костного мозга,
  • гипоинтенсивная неровная линейная структура, проходящая в центре зоны отёка.

Заключение: стресс-перелом левой половины тела S1 позвонка.

После исследования пациентка рассказала, что недавно начала активно заниматься бегом и связывает появление болей с этим периодом. Это позволило окончательно подтвердить диагноз.

В чём особенность стресс-перелома?

Это усталостный перелом. Он возникает не из-за одной острой (запоминающейся) травмы, а в результате многократных циклических нагрузок (бег, прыжки), которые не дают кости времени на полноценное восстановление. Кость не выдерживает постоянного напряжения и ломается.

На изображении:

  • синим - зона отёка костного мозга
  • красным - линия перелома


Авторы:
Демченкова Анна Юрьевна, к.м.н., врач отделения лучевой диагностики Ильинской больницы
Ясакова Елена Петровна, к.м.н., заведующая отделением лучевой диагностики

Автор: Демченкова Анна ЮрьевнаДемченкова Анна Юрьевна Врач лучевой диагностики, рентгенологКандидат медицинских наук.

Дата создания: 29.09.2025
Дата изменения: 29.09.2025
Записаться Получить мнение врача дистанционно

Спрашивайте!